Esaote MyLab X5 VET - veterinární ultrazvuk

Esaote MyLab X5 Vet byl navržen na základě  klíčových konceptů, aby poskytoval spolehlivou diagnózu a zajišťoval každodenní produktivitu. Jediným pohledem pochopíte, jak jednoduchá je obsluha a nastavení Esaote MyLab X5 Vet .

Esaote MyLab X5 Vet

 

Přehled hlavních funkcí

Široké portfolio sond

 

Sondy jsou jádrem ultrazvukové technologie. Integrace fyziky, elektroniky a geometrie do jejich designu je největší technickou výzvou řetězce zpracování signálu. Díky inovaci kvalitních zlatých standardních ultrazvukových snímačů obsahují iQsondy nejmodernější technologii Esaote.

 

Ačkoli bylo věnováno mnoho času optimalizaci skenovacích převodníků, algoritmům pro následné zpracování a sofistikovaným technologiím pro redukci skvrn, ultrazvukové sondy zůstávají primárním rozhraním skeneru mezi pacientem a uživatelem.

Konstrukce, materiál a technologie výroby sond jsou hlavními determinanty kvality obrazu ultrazvukového systému. Díky inovaci zlatých standardních ultrazvukových snímačů nabízejí iQsondy nejmodernější zobrazování.

 

  • Kompozitní materiál s aktivní matricí
  • Více adaptivních vrstev
  • Bi-con geometrický snímač
  • Design "appleprobe"
  • Rozsáhlé využití aplikací s rozšířeným širokopásmovým konvexním, lineárním, fázovaným polem, intraoperačním a speciálním tvarem sondy.

 

  • Rychlé a snadné
  • 21,5 "širokoúhlý LCD monitor
  • Automatizace "jedním kliknutím"
  • Konfigurace na míru
  • Velké portfolio sond
  • Baterie
  • Doba zapnutí méně než 15 s

Esaote MyLab X5 Vet

 

Pokročilé technologie

Nový veterinární ultrazvuk Esaote MyLab X5 Vet pokrývá všechny veterinární klinické potřeby, od abdominálních po kardiologické aplikace, stanovení diagnózy a poskytování nejlepší možné péče. Poskytuje vynikající kvalitu obrazu a je vybaven komplexní konfigurací kardiovaskulárních aplikací.
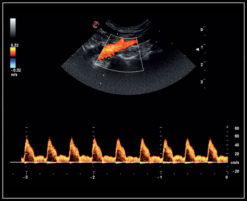
Kočka - tepna - PW
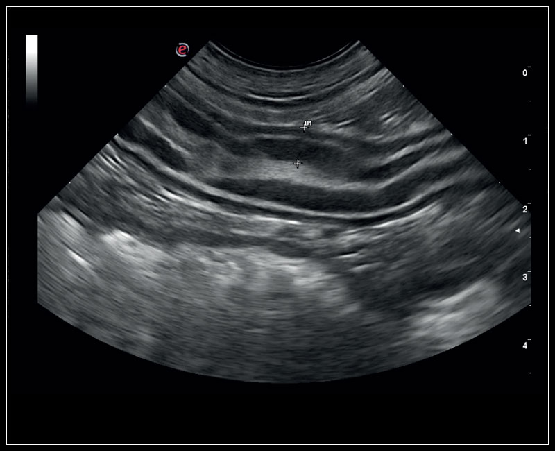
Pes - tenké střevo - B-mod
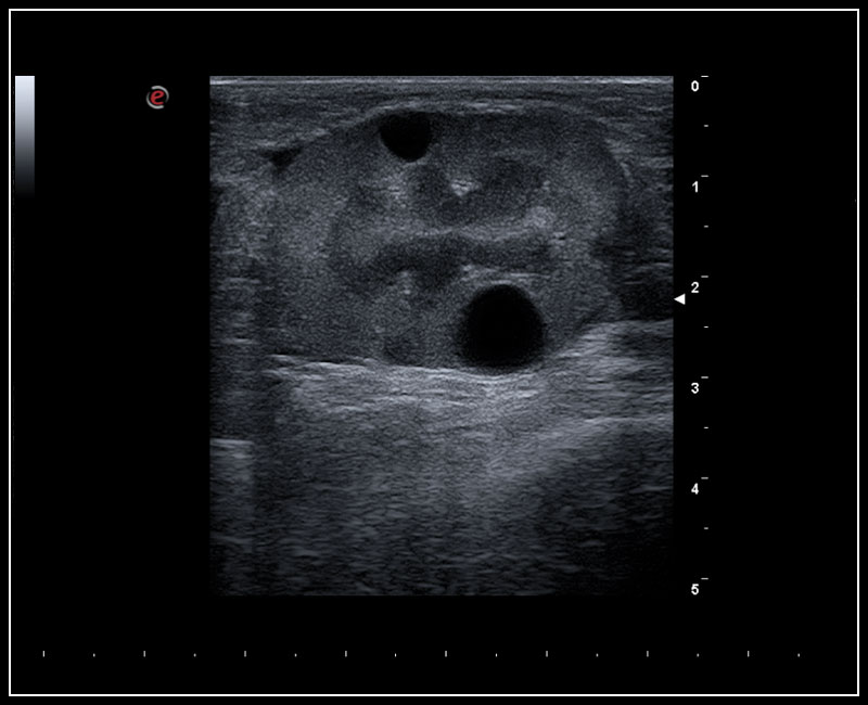
Kočka - cysta ledvin - B-mod

Ke stažení
Leták Esaote Mylab X5 Vet (PDF - 352 kB)
Prospekt Esaote Mylab X5 (PDF - 1.15 Mb)

Kontaktujte obchodního zástupce :

 

Ing. Lukáš Kuruc

+420 777 638 713

kuruc@chironax.com

Chironax Frýdek.Místek s.r.o., Revoluční 1280, 738 01 Frýdek Místek

 

tel.: 558 638 711, mobil: 777 638 711, email: chironax@chironax.com

 

Bextron Medical s.r.o., Podnikatelská 539, 190 11 Praha 9

 

tel.: 777 638 732, email: bextron@bextron.cz