Esaote G-scan Brio - končetinová magnetická rezonance

Více detailů, vyšší přesnost, větší důvěra

 

Nová končetinová magnetická rezonance G-scan Brio od společnosti Esaote je tomografický systém MRI, který umožňuje studium všech kloubů i páteře, ať už v klinostatické (vleže) nebo ortostatické (vážící) poloze, protože magnet i pacient se mohou otáčet od 0 do 90 stupňů. Díky inovativnímu designu G-scan mohou být pacienti Brio skenováni v poloze nesoucí váhu, aby se usnadnila diagnostika MSK u těch patologií, které se mohou měnit v důsledku držení těla a polohy, jako jsou bolesti dolní části zad.

Esaote G-scan Brio - končetinová magnetická rezonance

 

Přehled hlavních funkcí

 

G-scan Brio se může pochlubit pokročilými funkcemi a možnostmi, jako jsou:

 

  • Vysoká kvalita snímků
  • Otevřený permanentní magnet
  • Otočný portál
  • Váhové ložisko: poloha pacienta se stává nedílnou součástí výsledku vyšetření
  • Optimalizované, ergonomické lůžko pacienta pro snadné polohování a vynikající pohodlí během vyšetření
  • Další diagnostické schopnosti: jelikož gravitační síla generuje bio-mechanické změny v anatomii, MR zobrazení v přirozené poloze ve stoje vám umožňuje dosáhnout důležitých dalších informací ve srovnání s tradičními MRI
  • Kompletní sada sekvencí včetně turbo sekvencí, získávání v ustáleném stavu a X-Bone. G-scan Brio přichází s velkou sadou specializovaných sekvencí vhodných pro všechny požadavky na zobrazování MSK
  • Uživatelem definované sekvence a přizpůsobené protokoly vyšetření
  • Multi planární scout
  • Možnost vzdálené servisní diagnostiky
  • Technologie eXP: pro rychlejší a lepší zobrazování MR

G-scan Brio: snadné určování polohy

 

Vynikající ergonomie a jedinečné vlastnosti G-scan Brio přinášejí výhody jak operátorům, tak i uživatelům:

 

  • Snadné polohování pacienta pomocí optimalizovaného lehátka
  • Snadná manipulace lehátkem
  • MR snímky v reálném čase. Pomocí rychlé sekvence akvizice zobrazuje dotykový displej na portálu MR obraz v reálném čase, aby bylo zajištěno rychlé a přesné umístění.
  • Vysoká úroveň pohodlí pacienta během vyšetření

G-scan Brio: Správná cívka pro nejlepší výsledek

 

G-scan Brio obsahuje kompletní sadu  cívek speciálně navržených pro zobrazování MSK, což zaručuje velmi vysokou citlivost a pohodlí pacienta.

 

  • Kompletní sada cívek
  • Velký výběr specializovaných cívek MSK, celkem 10 různých cívek zaměřených na všechny anatomické oblasti

G-scan Brio: Intuitivní uživatelské rozhraní

 

Uživatelské rozhraní je velmi jednoduché a uživatelsky přívětivé. Rutinní vyšetření lze provést několika kliknutími myší. Zkušení uživatelé mohou přizpůsobit všechny parametry skenování a vlastní sekvence lze uložit a integrovat do  struktury nabídky pro následné použití.

 

  • Intuitivní uživatelské rozhraní: snadno použitelné uživatelské rozhraní založené na Windows®
  • Kompletní softwarový balíček: dodáván s širokou škálou nástrojů pro zpracování, zobrazení a analýzu snímků

Esaote G-scan Brio - končetinová magnetická rezonance

 

Technologie, příslušenství a snímky

 

G-scan Brio je speciálně navržen pro všechny aplikace pohybového aparátu. Otevřený a naklápěcí design je nový a inovativní způsob provádění MRI, při kterém se poloha pacienta stává nedílnou součástí výsledku vyšetření. G-scan Brio poskytuje pacientovi vysoký komfort s funkcí nejnovějšího zobrazovacího výkonu a sekvencí společnosti Esaote.

G-scan Brio  - Ekonomika

 

Všechny systémy Esaote MRI jsou nákladově efektivní, protože nabízejí optimalizovaný výkon MSK za mnohem konkurenceschopnější cenu než standardní celotělové MRI systémy. G-scan Brio není jen jedinečný klinický a diagnostický systém, ale také snadno lokalizovatelný a velmi ekonomický.

 

G-scan Brio je v souladu s ekonomickými omezeními dnešního zdravotnického prostředí a činí z něj optimální investici pro soukromou kliniku nebo nemocnici.

 

  • Zelené MRI, systémy MR společnosti Esaote využívají zlomek energie použité tradičními MRI, což vám ročně ušetří tisíce korun.
  • Nízká spotřeba energie: pouze 2,8 VA během akvizice, pouze 0,4 kW v pohotovostním režimu
  • Cenově efektivní

Náklady na vyšetření

Snadná instalace, snadné použití, technologie s nízkou údržbou, nízká spotřeba energie, žádné kryogeny a vzdálený servis - inteligentní investice.

G-scan Brio: bezproblémové MRI

 

Stejně jako všechny systémy Esaote MRI je G-scan Brio „MR“ pro jednu místnost, což znamená, že celý systém, magnet, elektroniku a konzolu lze instalovat do jediné místnosti o velikosti pouze 23 m2.

 

  • G-scan Brio využívá optimalizovaný permanentní magnet, takže nejsou nutné žádné kryogeny a komplikované chladicí systémy.
  • Patentované, lehké RF stínění ve stylu pavilonu lze instalovat samostatně bez jakékoli další konstrukce
  • Požadavky na výšku místnosti: minimální pro vyšetření páteře a kolen: 2,80 m; doporučeno pro vyšetření páteře, kolena a kotníku: 3,30 m
  • Celková hmotnost: 7,9 tuny
  • Napájecí napětí: 200-210 / 220-240 V při 50/60 Hz

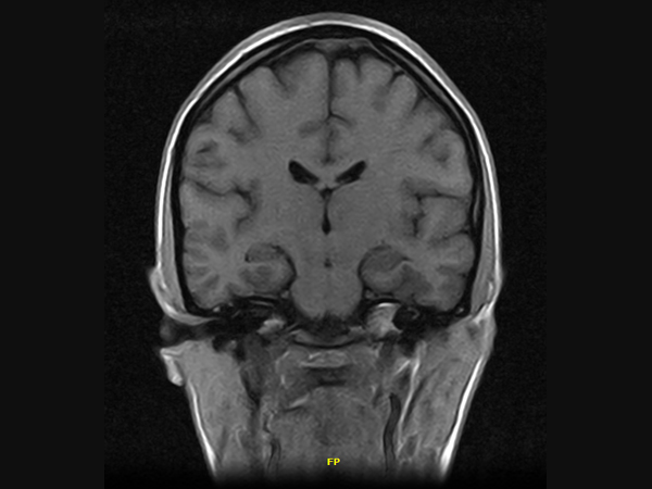
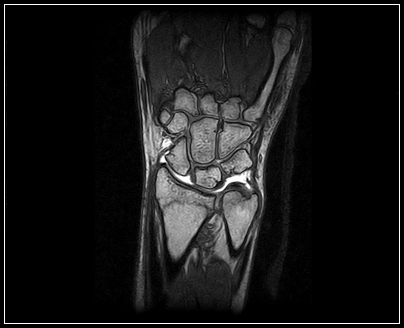
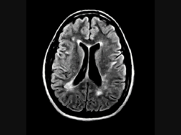
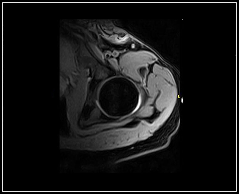
Klinické snímky

 


Ke stažení
Prospekt G-scan Brio (PDF - 1.7 Mb)

Kontaktujte obchodního zástupce :

 

Ing. Lukáš Kuruc

+420 777 638 713

kuruc@chironax.com

Chironax Frýdek.Místek s.r.o., Revoluční 1280, 738 01 Frýdek Místek

 

tel.: 558 638 711, mobil: 777 638 711, email: chironax@chironax.com

 

Bextron Medical s.r.o., Podnikatelská 539, 190 11 Praha 9

 

tel.: 777 638 732, email: bextron@bextron.cz